๋งค์ ์ธ ๋ฒ์งธ, ๋ค ๋ฒ์งธ ํ์์ผ๋ง๋ค ์์ ์ ์ฉ ๊ด์ ์์ ๋ฐ๋ผ๋ณธ ์ฌ๋ ์๋ ์์ํ ๋
ผ๋ฌธ ๋ฆฌ๋ทฐ๋ฅผ ๋ณด๋ด๋๋ฆฝ๋๋ค. - ๋ฒณ์๋์ค ํ์ ์์ํ๊ฐ ๋งค์ ์ธ ๋ฒ์งธ ํ์์ผ๋ง๋ค ์์์ ์ค์ง์ ์ผ๋ก ๋์์ด ๋ ์ ์๋ ๋
ผ๋ฌธ๋ค์ ๋ํ ์์ธํ ๋ฆฌ๋ทฐ๋ฅผ ์ ํด๋๋ ค์! |
|
|
โ๏ธ ์ด๋ฒ ๋ฌ ๋ฆฌ๋ทฐ ๋
ผ๋ฌธ |
|
|
Blood glucose monitoring during surgery in dogs to assess completeness of surgical resection of insulinoma: 11 cases
|
|
|
-
Nรบria Comas Collgros, DVM and Jonathan Peter Bray, MVSc, PhD, ECVS
|
|
|
Abstact (Conclusions and Clinical Relevance)
A sustained increase in intraoperative blood glucose provided the surgeon with confidence of more complete resection of insulinoma tissue and resulted in improved outcomes in all cases included in this study. Subsequent metastasectomy of recurrent insulinoma lesions also provided good outcomes. Intraoperative monitoring of blood glucose during surgical treatment of insulinoma resulted in the surgeon continuing to explore and resect abnormal tissue until an increase of glycemia was observed. This was shown to provide the surgeon with more confidence of resection of all active insulinoma tissue and improved clinical outcomes.
|
|
|
[24์์คํ ๋ค๋๋๋ฌผ์๋ฃ์ผํฐ]
๊น๋จ์ด ์์์ฌ
- ็พ) 24์์คํ ๋ค๋๋๋ฌผ์๋ฃ์ผํฐ ์์ฅ - ์์ธ๋ํ๊ต ์์์ธ๊ณผํ ๋ฐ์ฌ์๋ฃ - ์์ธ๋ํ๊ต ์์์ธ๊ณผํ ์์ฌ์กธ์
|
|
|
โ๏ธ ๋
ผ๋ฌธ ์ ์ ์ด์
|
|
|
์ธ์๋ฆฐ์ข
์ ์ข
์์ ๋ฐ๊ฒฌ์ด ๋ฆ๊ณ ์ ์ด๋ ์ฑ๋ก ์ง๋จ๋๋ ๊ฒฝ์ฐ๊ฐ ๋ง์ต๋๋ค. ์ด๋ก ์ธํด, ์์ ์ค ์ฃผ์๋ณ๋ณ์ ์ ๊ฑฐํ์ผ๋, ๋ฏธ์ธํ ์ ์ด๊ฒฐ์ ์ ๋์น๊ธฐ ์ฌ์, ์ข
์์ ๋จ๊ธฐ๊ณ ์์ ์ ๋ง์น ๊ฐ๋ฅ์ฑ์ด ์์ต๋๋ค. ์์ ์ค ์ธ์๋ฆฐ์ข
์ ์์ ํ ์ ๊ฑฐํ๋ค๊ณ ํ์ ํ ์ ์๋ ๊ทผ๊ฑฐ๊ฐ ์๋ค๋ฉด ์ ์ฉํ๊ฒ ๋ค๋ ์๊ฐ์ ์ ์ ํ์ต๋๋ค.
|
|
|
์ธ์๋ฆฐ์ข
์์ ์ ์ธ๊ณผ์๋ ๋๊ณผ ์(์ด์ง)์ ์์กดํด ์ข
์์ ์ฐพ์ต๋๋ค. ํ์ง๋ง ๋ฏธ์ธํ ์ ์ด ๊ฒฐ์ ์ด๋ ์ด์์ฑ ์ท์ฅ ์กฐ์ง์ ์จ์ ์ข
์์ ๋์น๊ธฐ ์ฝ์ต๋๋ค. ๋ง์ฝ ์์ ์ค์ "์ด์ ๋ชจ๋ ์ข
์์ด ์ ๊ฑฐ๋์๋ค"๋ผ๋ ํ์ ์ ์ฃผ๋ ์งํ๊ฐ ์๋ค๋ฉด ์์ ์ ์ฑ๊ณต๋ฅ ์ ํ๊ธฐ์ ์ผ๋ก ๋์ผ ์ ์๋ค๋ ์ ์ด ์ด ์ฐ๊ตฌ์ ์์์ ์
๋๋ค. ์ด ์ฐ๊ตฌ๋ ์ ํ๋น์ฆ(Blood Glucose < 60 mg/dL)๊ณผ ๋์ ์ธ์๋ฆฐ ๋๋๋ก ์ธ์๋ฆฐ์ข
์ด ์์ฌ๋ 11๋ง๋ฆฌ์ ๊ฐ๋ฅผ ๋์์ผ๋ก, 1) ๋ง์ทจ ์ ๋ ์งํ, 2) ๋ณต๊ฐ์ ๊ฐ ํ ์ท์ฅ๋
ธ์ถ ์, 3) ์ท์ฅ์ข
์ ๋ฐ ์ ์ด ์์ฌ ๋ฆผํ์ ์ ๊ฑฐ ์ง ํ, 4) ์ ๊ฑฐ ํ 10๋ถ ๊ฐ๊ฒฉ์ผ๋ก 1์๊ฐ. ์ด๋ ๊ฒ ํ๋น์ ์ธก์ ํ์์ต๋๋ค.
|
|
|
์ธก์ ๊ฒฐ๊ณผ 11๋ง๋ฆฌ ์ค 9๋ง๋ฆฌ(82%)์์ ์ข
์ ์ ๊ฑฐ ํ, ํ๋น์ด ์ ์๋ฏธํ๊ฒ ์์นํ์ต๋๋ค (Rebound Hyperglycemia" (๋ฐ๋์ฑ ๊ณ ํ๋น)). ์์น์์ ์ ๋๋ถ๋ถ ์ข
์ ์ ๊ฑฐ ํ 30๋ถ ์ด๋ด์ ํ๋น ์์น๊ฐ 20-30 mg/dL์ด์ ์์นํ์ผ๋ฉฐ, ์์ ์ข
๋ฃ ์์ ์์ ๋ง์ ๊ฐ๋ค์์ 100-150 mg/dL์ด์์ ์ ์ ๋๋ ๊ฐ๋ฒผ์ด ๊ณ ํ๋น ์ํ๋ฅผ ๋ณด์ฌ์ฃผ์์ต๋๋ค. ์์ ์ค ํ๋น์ด ๋์ ๋๊ฒ ์์นํ ๊ฐ๋ค์ ์กฐ์ง๊ฒ์ฌ์์์ ์ข
์์ด ์์ ์ ์ ๋์์์ ํ์ธํ์ผ๋ฉฐ, ๋ฐ๋ฉด ํ๋น์ด ์์นํ์ง ์๊ฑฐ๋ ๊ณ์ ๋ฎ๊ฒ ์ ์ง๋ ๊ฒฝ์ฐ์๋ ์์กด ์ข
์์ด๋ ํ์ธ๋์ง ์์ ์ ์ด ๋ณ๋ณ ๊ฐ๋ฅ์ฑ์ ๋๊ฒ ๋ณด์์ต๋๋ค.
|
|
|
์ด ๊ธฐ๋ฒ์ ์์ ์ค ์ถ๊ฐ์ ์ธ ๋ณ๋ณ ์ ์ ๋ฑ์ด ํ์ํ ์ง ์ฆ๊ฐ ๊ฒฐ์ ์ ํ ์ ์์ผ๋ฉฐ, ๋ณต์กํ ์ฅ๋น ์์ด ๊ฐ์ดํ๋น๊ณ๋ก๋ง ์ํ๊ฐ๋ฅํ๋ค๋ ์ฅ์ ์ด ์์ต๋๋ค. ๋ํ, ์์ ์ค ํ๋น์ด ์ ์ํ ๋ ํ์๋, ์์ ์ค ์ ์ํ๋์ง ์์ ๊ทธ๋ฃน๋ณด๋ค, ์์ ํ ์ ํ๋น ์ฌ๋ฐ๊น์ง ๊ฑธ๋ฆฌ๋ ๊ธฐ๊ฐ(๋ฌด์ฆ์๊ธฐ๊ฐ)์ด ์ ์๋ฏธํ๊ฒ ๊ธธ์์ผ๋ฉฐ, ์ด๋ ์ค์๊ฐ ํ๋น ๋ชจ๋ํฐ๋ง์ด ๋จ์ํ ์์ ์ ์ฑ๊ณต์ฌ๋ถ๋ฅผ ํ์ธํ๋ ๊ฒ์ ๋์ด์ ํ์์ ์ฅ๊ธฐ์ ์ธ ์ํ๋ฅผ ์์ธกํ๋ ์ค์ํ ์ฒ๋๊ฐ ๋ ์ ์์์ ์์ฌํฉ๋๋ค.
|
|
|
ํ์ง๋ง ์ผ๋ถ๊ฐ์ฒด์์ ์ข
์์ ์๋ฒฝํ ์ ๊ฑฐํ์์๋, ๊ฐ ๋ด ๊ธ๋ฆฌ์ฝ๊ฒ์ด ๋ถ์กฑํ๊ฑฐ๋, ๋ง์ทจ์ (์:a2-agnoist)๊ฐ ํ๋น๋์ฌ์ ์ํฅ์ ์ค, ํ์ ์์ฑ(false negative) ๋ฐ์ ๊ฐ๋ฅ์ฑ์ด ์์ผ๋ฉฐ, ์์ ์ค ์ ํ๋น ์ผํฌ๋ฅผ ๋ง๊ธฐ ์ํด ํฌ๋๋น์ ๊ณผํ๊ฒ ์ฃผ๋ฉด์, ์ข
์์ ๊ฑฐ์ ์ํ ์๋ฐ์ ํ๋น ์์น์ธ์ง, ์์ก์ ์ํ ์์น์ธ์ง ๊ตฌ๋ถํ๊ธฐ ์ด๋ ค์, ์ต์ํ ํฌ๋๋น(2.5~5% ๋๋ ์ ์ง)๋ง ๊ณต๊ธํ๋ฉฐ ๋ชจ๋ํฐ๋งํ๋ ๊ธฐ์ ์ ์๋ จ๋๊ฐ ํ์ํ๋ค๋ ํ๊ณ์ ๋ ์์ต๋๋ค. ๋ํ 11๊ฐ ์ฌ๋ก๋ผ์ ๋น๊ต์ ์ ์ ์ฐ๊ตฌ์ด๋ฏ๋ก, ๋ชจ๋ ์ผ์ด์ค๋ฅผ ์ผ๋ฐํํ๊ธฐ ์ด๋ ต๋ค๋ ์ ๋, ์ด ์ฐ๊ตฌ์ ํ๊ณ์ ์
๋๋ค.
|
|
|
๊ฒฐ๋ก ์ ์ผ๋ก ์ด ๋
ผ๋ฌธ์ ๊ณ ๊ฐ์ ํน์ ์ฅ๋น ์์ด๋ ๊ฐ์ด ํ๋น๊ณ์ ์ฒด๊ณ์ ์ธ ์ธก์ ํ๋กํ ์ฝ๋ง ์๋ค๋ฉด, ์ธ๊ณผ์๊ฐ ์์ ๋ ์์์ ์ฆ๊ฐ์ ์ผ๋ก โ์ถ๊ฐ์ ์ธ ํ์ ์ ์ ๊ฐ ํ์ํ๊ฐ, ์๋๋ฉด ์ฌ๊ธฐ์ ์์ ์ ์ข
๋ฃํด๋ ์์ ํ๊ฐ"๋ฅผ ๊ฒฐ์ ํ ์ ์๋ ๋งค์ฐ ์ค์ฉ์ ์ด๊ณ ๊ณผํ์ ์ธ ๊ทผ๊ฑฐ๋ฅผ ์ ์ํ๊ณ ์์ต๋๋ค.
|
|
|
โ๏ธ ์์ ์ ์ฉ ๋ฐฉ์
|
|
|
์ด๋ฅผ ๋ฐํ์ผ๋ก, ์ท์ฅ์ธ์๋ฆฐ์ข
ํ์์์ ์ด๋ฏธ ๋น์ฅ, ๊ฐ๋ฆผํ์ ์ ์ด, ๋น์ฅ์ ์ด๊น์ง ์์ฌ๋ WHO stage 3 ํ์ ์์ ์, ์ ์ ๋ฒ์๋ฅผ ์ด๋๊น์ง ์งํํด์ผ ํ๋์ง ๊ณ ๋ คํด ๋ณด์์ต๋๋ค. ์์ ์ค 15๋ถ๋ง๋ค ํ๋น์ฒดํฌ ์งํํ์ผ๋ฉฐ, ์ ์ ํ ํ๋น์์น ์ฌ๋ถ๋ฅผ ํ๋จํด์ ์ธ์๋ฆฐ์ข
์์กด์ฌ๋ถ๋ฅผ ๊ฒฐ์ ํ์์ต๋๋ค. ์ธ์๋ฆฐ์ข
, ๊ฐ๋ฆผํ์ , ๋น์ฅ๋ฆผํ์ , ๋น์ฅ ์์ผ๋ก ์ ์ ์งํํ์ผ๋ฉฐ, ์์ฌ๋ณ๋ณ์ ๋ชจ๋ ์ ๊ฑฐ ํ ํ์๋ ํ๋น์ด ์์นํ์ง ์๊ณ 50 mg/dL๋ก ๋ฎ๊ฒ ์ ์ง๋์์ผ๋, ์ถ๊ฐ์ ์ผ๋ก ์ ์ ํ ๋ณ๋ณ์ ์๋ ๊ฒ์ผ๋ก ํ๋จ๋์์ผ๋ฉฐ, ์ง์์ ํ๋น ํ์ธ์ ์ํด ๊ณ ๋ น์ ํ์ ๋ง์ทจ๋ฅผ ์ง์ํ๊ธฐ ์ด๋ ค์ด ์ ๊ณ ๋ คํด์, ์์ ์ข
๋ฃ๋์์ต๋๋ค. ๋คํํ ์์ ์ข
๋ฃ ํ ํ์ ํ๋ณต์์ ํ๋น 80 mg/dL๋ก ํ๋ณต๋ ์ดํ, ์ ํ 5์ผ์ฐจ ํด์ํ ๋๊น์ง ์ ์ํ๋น ์ ์ง๋์์ต๋๋ค. ์ ํ 3๊ฐ์๊น์ง ์ ์ํ๋น ์ ์ง๋๊ณ , ์ฌ๋ฐ ์์์ ํ์ธํ์ผ๋, ๊ทธ ์ดํ ๋ด์ํ์ง ์์ ์ถ๊ฐ ํ๋ก์ฐ์
์งํ๋์ง ๋ชปํ์ต๋๋ค.
|
|
|
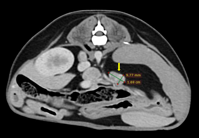
(๊ทธ๋ฆผ1. ์ธ์๋ฆฐ์ข
์์ฌ๋ณ๋ณ)
|
|
|
(๊ทธ๋ฆผ2. ๋น์ฅ ๋ฐ ๊ฐ ๋ฆผํ์ ์ข
๋)
|
|
|
(๊ทธ๋ฆผ3. ๋น์ฅ ๋ค๋ฐ์ฑ ๋ณ๋ณ)
|
|
|
(๊ทธ๋ฆผ4. ์ ์ ๋ ์กฐ์ง๋ค : ์ธ์๋ฆฐ์ข
, ๋น์ฅ๋ฆผํ์ , ๊ฐ๋ฆผํ์ , ๋น์ฅ)
|
|
|
์์ ์ค ์ธ์๋ฆฐ์ข
์ ์ ๋ฅผ ์์ ํ ์ด๋ฃจ์๋์ง ํ์ธํ ์ ์๋ ๊ฐ๋จํ๊ณ ์ค์ฉ์ ์ธ ๋ฐฉ๋ฒ์ผ๋ก ์ ์ํ์ง๋ง, ๋ชจ๋ ํ์์ ์ ์ฉํ ์ ์๋ค๋ ๊ทผ๊ฑฐ๋ ์์ผ๋ฉฐ, ํ๋นํ๋ณต์ ์ํด ๊ณ ๋ น์ ์ํ์๋ฅผ ์ง์์ ์ผ๋ก ๋ง์ทจ ์์ผ์ผ ํ๋ค๋ ๋จ์ ๋ ์กด์ฌํฉ๋๋ค. ํ์ง๋ง, ์ธ์๋ฆฐ์ข
์ ๋จ๊ธฐ๊ณ ๋์ค๋ ๊ฒ์ ๋ํ ๋ถ์ํจ์ ์ผ๋ถ ์์จ ์ ์๋ ํ ๊ฐ์ง ์๋จ์ผ๋ก ์ด์ฉ๋ ์ ์์ ๊ฒ์ผ๋ก ๋ณด์
๋๋ค.
|
|
|
Blood glucose monitoring during surgery in dogs to assess completeness of surgical resection of insulinoma: 11 cases
|
|
|
์๋ ๋ฒํผ์ ๋๋ฌ ์ด๋ฒ V-ํ์ ๋ ํฐ์ ๋ํ ๊ตฌ๋
์๋์ ์๊ฒฌ์ ์ ํด์ฃผ์ธ์.
V-ํ์ ๋ ํฐ๋ ์ฌ๋ฌ๋ถ์ ์์คํ ์๊ฒฌ์ ๋ฐ์ํ ์ ์๋๋ก ์ต์ ์ ๋คํ๊ฒ ์ต๋๋ค.
|
|
|
๋ฒณ์๋์ค Allied by iamdt
bg.kim@iamdt.co.kr ์์ธ์ ์์ด๊ตฌ ๊ฐ๋จ๋๋ก53๊ธธ 8, 7์ธต (๋ง์ด์ํฌ์คํ์ด์ค)
|
|
|
|
|